
很多患者一拿到胃鏡活檢病理報告,看到“萎縮性胃炎伴腸化”、“中度萎縮伴輕度腸化”等字眼,就憂心忡忡,夜不能寐。病人和家屬都會愁腸百結,如臨大敵,好像癌癥明天就要來臨。到處求醫問藥,多次重復檢查,甚至求助于江湖“神醫”、“保健神藥”。這樣精神焦慮緊張,莫名恐懼害怕,亂用藥物,反而加重了病情。
那么,腸化到底是怎么回事?是不是就要癌變了?

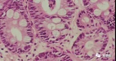
一、什么是腸化?
腸上皮化生簡稱腸化,是指正常的胃黏膜上皮被腸型上皮所取代了。
簡單地說,正常情況下,我們的器官各司其職,胃表面生長的是具有分泌胃酸功能的胃黏膜上皮細胞,腸道表面生長的是具有分泌和吸收功能的腸黏膜上皮細胞。
但當胃黏膜細胞受到比較嚴重的損傷后,本是同根生的胃腸黏膜上皮結構出現了一定改變,越長越像鄰居家腸黏膜的孩子了。看上去,就像腸黏膜長錯了地方,本該長在腸道上長的結構卻出現在了胃黏膜上,就像一片草地長出了樹木,樹木就顯得很突出。

這是一個特別罕見的病例,小女孩出生時...
雙手皮膚干燥、老化,接觸水后皮膚變白、脫皮,水干后...
來源:村醫導刊 □湖南省衛生計生委基層衛生處 王...
5月8日,發表在Cell子刊《Cell ...