
病友:醫生,我嘴巴周圍長了好多水皰,好疼!~你幫我看看,是上火了嗎?
醫生:你這是單純皰疹病毒感染。
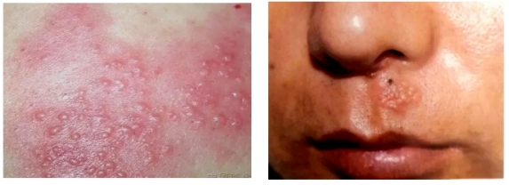
01 單純皰疹是一種病毒性皮膚病 主要表現 為簇集的水皰。有疼痛感、燒灼感或輕微的瘙癢感,主要見于面部,以口腔和唇部最常見。 好發部位 鼻孔、眼周、前額、面頰、手指亦可出現。 易發人群及傳播方式 單純皰疹病毒(HSV)主要分為HSV-I和HSV-II兩種。 I型初發感染多發生在5歲以下幼兒,通過親吻或其它方式接觸感染,主要引起生殖器以外的皮膚粘膜和腦部感染。 II型初發感染主要在青年人或成人,通過親密接觸傳播,引起生殖器部位感染。 病毒首次侵入皮膚粘膜后會長期潛伏在相應的神經節,當受到某種誘因(如發熱、受涼、勞累、機械刺激等)時,潛伏狀態的病毒可以激活并沿著神經所支配的上皮,形成復發性皰疹。 02 為什么容易復發? 03 有哪些癥狀? 04 單純皰疹常見類型 皰疹性齦口炎 該型較為常見,絕大多數由HSV-1引起,常見于兒童,好發于口腔、牙齦、舌咽、臉部等部位。較為典型的癥狀是口腔黏膜的一些成簇的小水皰,或紅斑、淺潰瘍,同時可能伴有發熱、疼痛、局部淋巴結腫大。 皰疹性齦口炎具有一定的傳染性,尤其是小朋友之間要注意保持一定的距離,減少傳染,如果感染了皰疹性齦口炎,要注意休息,加強營養,注意口腔衛生,注意不要吃熱、硬,以及刺激性較強的東西。 如發燒體溫較高,要及時進行物理降溫,或使用一些退燒藥,通常2周左右癥狀逐漸改善。如果有特別嚴重的全身癥狀,一定要及時到醫院進行治療。 皰疹性結膜炎 單純皰疹也可能會發生在眼部,導致角膜炎或結膜炎,嚴重的會導致角膜穿孔引起失明。可合并眼見水皰和耳前淋巴結腫大,容易復發。 致命性腦炎 05 得了單純皰疹,該如何治療 06 如何預防

這是一個特別罕見的病例,小女孩出生時...
雙手皮膚干燥、老化,接觸水后皮膚變白、脫皮,水干后...
來源:村醫導刊 □湖南省衛生計生委基層衛生處 王...
5月8日,發表在Cell子刊《Cell ...