
最近接診了一個老年男性,平時休息時或者活動沒有胸悶、胸痛等癥狀,但有時會有脖子發緊的感覺,沒在意,也沒去看醫生。
在一次下棋時,他遇到一位舊友,這位老友剛剛做完心臟支架植入治療。在聊天的過程中,這位朋友說,大夫說看我的耳朵就知道有冠心病,說耳朵上長褶皺的人可能會有冠心病,就是耳垂的地方。來...來...,我給你看看。嗨呦,你還真有耶,你趕緊去醫院看看吧。
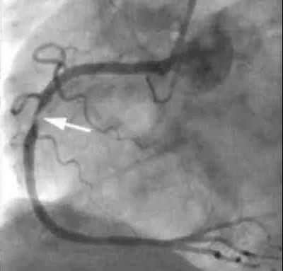
這位患者就到我們醫院住院了。這個患者沒有典型的勞累時胸悶或者胸痛癥狀,但有頸部緊縮感,再看看他的耳朵,確實有明顯的皺褶,很有可能是冠心病。做冠脈造影,果不出所料,心臟三根血管均有狹窄,右冠脈重度狹窄,植入一枚支架。

我想說,這個病人是幸運的,幸運遇到他的故人,要不哪天發生急性心肌梗死,那麻煩可就大了。
這是一個特別罕見的病例,小女孩出生時...
雙手皮膚干燥、老化,接觸水后皮膚變白、脫皮,水干后...
來源:村醫導刊 □湖南省衛生計生委基層衛生處 王...
5月8日,發表在Cell子刊《Cell ...