
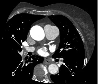
一名73歲的女性因不典型性胸痛來就診,患者無心血管疾病病史,無其余特殊相關體征和癥狀。作為常規檢查,在胸痛診療中心給患者做了冠脈CTA。動脈相的冠脈CTA可見右肺動脈主干遠端,右下葉肺動脈,左下葉肺動脈有彌漫性的低密度灶。冠脈無異常發現。盡管該檢查并非肺動脈栓塞的首選影像手段,但影像學結果能夠將病人診斷為彌漫性雙側肺動脈栓塞。因此最終診斷為彌漫性雙側肺動脈栓塞。

動脈相的冠脈CTA可見右肺動脈主干遠端,右下葉肺動脈,左下葉肺動脈有彌漫性的低密度灶
討 論
在體征穩定的患者,比如此患者的情況下,治療的主要目的是抗凝。而對于血流動力學不穩定的患者,應當首選溶栓或栓塞取出術。
肺動脈栓塞的主要危險因素包括高齡,活動受限,惡性腫瘤,化療,下肢創傷,手術以及血栓性疾病。然而,有25%的肺動脈栓塞患者沒有典型的危險因素。對于無危險因素下突發單側或雙側靜脈栓塞的患者是否要篩查腫瘤一直是有爭議的,目前認為無危險因素下突發靜脈栓塞的患者患腫瘤的概率是4%。
這是一個特別罕見的病例,小女孩出生時...
雙手皮膚干燥、老化,接觸水后皮膚變白、脫皮,水干后...
來源:村醫導刊 □湖南省衛生計生委基層衛生處 王...
5月8日,發表在Cell子刊《Cell ...